今天在南院我的特需门诊,有一例做第三代试管婴儿的陈女士二超顺利毕业!恭喜她!给大家分享一下她的病情和诊治经过,希望对患有类似情况的夫妻一些鼓励和帮助。
陈女士32岁,丈夫33岁,2014年3月自然流产1次,2014年10月生化妊娠1次,2016年3月胎停1次,2017年2月,胎停1次(无胎心)。夫妻双方来我门诊求医,考虑到她的多次不良孕产史,建议直接行第三代试管婴儿(PGT)治疗。
2019年6月19日开始拮抗剂方案促排卵,2019年7月4日行取卵术,获卵15枚(成熟/可用卵子9枚),配成D3天胚胎9枚,这9枚胚胎全部进行囊胚培养,形成7枚可用囊胚。对这7枚囊胚活检部分细胞后进行PGT检测,约1个月后告知结果:4枚囊胚可以移植,另3枚囊胚存在染色体异常问题不能使用。9枚卵子配成4枚可移植的第三代囊胚,结局还是很令人满意的。
因陈女士患有PCOS(多囊卵巢综合征),给予补佳乐雪诺同等人工周期进行冻胚移植:
2019年9月21日进行第一次冷冻胚胎移植手术,移植PGT冷冻囊胚1枚。
2109年10月5日开奖验孕,血β-HCG 654.3、孕酮30.90、雌二醇 127.73。一次成功!
2019年10月18日一超:宫腔内见胚囊,大小17´21´22mm,胚芽长6mm,胎心136次/分。血β-HCG 56778.4、孕酮27.35、雌二醇 373.12。
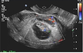
2019年10月29日二超:宫腔内见胚囊,大小31´21´31mm,胚芽长18mm,胎心167次/分。今天顺利毕业!转往产科建卡!
上面就是陈女士在我门诊的整个治疗过程,她的治疗过程还是非常顺利的,一次取卵一次移植,顺利好孕和毕业!
下面给大家再简单介绍一下什么是第三代试管婴儿,第三代试管婴儿又称胚胎植入前遗传学检测技术(PGT),它和第一代第二代试管婴儿的主要区别就是可以对胚胎进行检测。简单通俗解释就是一代二代是“盲目”移植的,而第三代是在移植前从胚胎上取一些细胞进行检测,可以知道胚胎的好坏(染色体等情况),选择正常的胚胎进行移植。
PGT适合于染色体异常疾病(夫妇一方或双方染色体相互易位、罗氏易位、倒位、致病性微缺失等),单基因遗传病(色盲、血友病、多指并指、地中海贫血等)。PGT还适用于反复胚胎种植失败、反复自然流产、女方高龄(³38岁) 等情况,因为反复胚胎种植失败反复自然流产等的主要原因是胚胎染色体异常,而PGT可以检测出染色体异常的胚胎,通过移植染色体正常的胚胎,从而提高怀孕率,减少再次流产的风险。
(咨询洪医生病情或了解洪医生门诊时间地点,请关注微信公众号:洪岭医生)


